Ein Glas Wein zum Essen und ein Bier nach Feierabend gehören auf vielen Veranstaltungen und auch im privaten Kreis zum guten Ton. Dass übermäßiger Alkoholkonsum Gesundheitsschäden, vor allem an der Leber, zur Folge haben kann, ist den meisten Konsumenten bekannt. Doch nicht nur häufiger Alkoholgenuss macht der Leber zu schaffen. Zahlreiche Studien zeigen auf, dass auch die Zahl der nicht-alkoholbedingten Lebererkrankungen (NAFLD) in den vergangenen 30 Jahren deutlich angestiegen ist. Im engen Zusammenhang damit steht die Entstehung einer NAFLD bei starkem Übergewicht (Adipositas).
In einem Projekt im Rahmen des Kompetenznetzes Adipositas erforscht Prof. Dr. Ina Bergheim, kommissarische Leiterin des Instituts für Ernährungswissenschaften in Jena, die molekularen Mechanismen, die zur Entstehung der alkohol- und nichtalkoholbedingten Lebererkrankungen führen. Ziel der Forschungen ist es, langfristig Präventionsstrategien und Therapien für Lebererkrankungen definieren zu können.
Viele Menschen leiden an einer nicht durch Alkohol verursachten Fettlebererkrankung. Konkrete Zahlen fur Deutschland gibt es bislang nicht. .Die NAFLD stellt eine der haufigsten Lebererkrankungen in den Industrielandern dar. Sie ist unter anderem ein Risikofaktor fur die Entstehung der Leberzirrhose wie auch eines Leberzellkrebses, warnt Bergheim. An der Entstehung einer nicht-alkoholischen Fettlebererkrankung sei vor allem eine Ernährungsweise mit einer übermäßigen Zufuhr an Kohlenhydraten und Fett schuld.
Erhohtes Risiko fur Menschen mit Adipositas
Besonders Menschen mit Adipositas (Body Mass Index (BMI) . 30 kg/m2) sind betroffen, da sie Fett auch im Bauchraum und in Organen wie der Leber einlagern. Bei Menschen mit starkem Ubergewicht und bei Patienten mit Typ-2-Diabetes ist das Risiko, an einer NAFLD zu erkranken, deutlich erhoht. Da eine ubermasige Energiezufuhr nicht selten auch mit Alkoholgenuss einhergeht, ist es jedoch oftmals schwierig, eindeutig zwischen der alkoholischen und nicht-alkoholbedingten Fettleber zu unterscheiden.
In Mausstudien konnte die Forschergruppe um Bergheim nachweisen, dass die Entstehung einer NAFLD mit erhöhtem bakteriellen Endotoxinspiegeln einhergeht. Endotoxin ist ein Wandbestandteil von Bakterien, die auch im menschlichen Darm vorkommen. „Wir konnten nachweisen, dass Tiere ohne den sogenannten Toll-like Rezeptor (TLR) 4, der Endotoxin bindet, deutlich weniger stark an NAFLD leiden als Tiere, die diesen Rezeptor haben“, so Bergheim. Weiterhin wurden Mäuse, die eine mit Fruchtzucker angereicherte Kost erhielten und frühe Stadien einer NAFLD (eine einfache Fettleber) aufwiesen, untersucht. Im Vergleich zu Kontrolltieren konnte gezeigt werden, dass noch andere TLRs in der Leber aktiv sind. Das gilt als Hinweis dafür, dass noch weitere bakterielle Bestandteile bei Mäusen mit NAFLD durch die Darmwand (Darmbarriere) ins Blut gelangen.
Humanstudie bestätigt Erkenntnisse
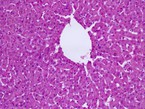
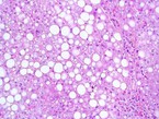
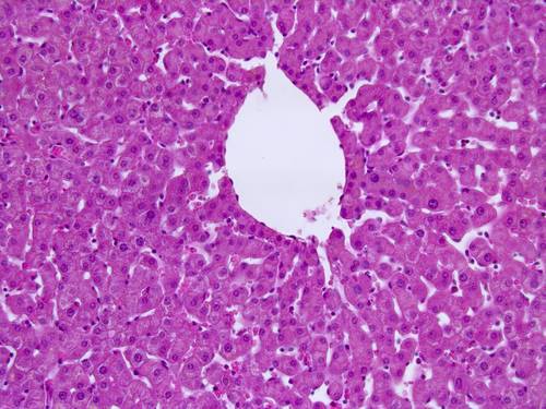
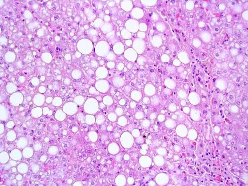
Die Forscher im Kompetenznetz Adipositas haben zudem Patienten mit NAFLD sowie eine gesunde Kontrollgruppe (Abbildung 1) untersucht. Wie bei den Mausversuchen fanden sie auch beim Menschen heraus, dass neben TLR4 noch andere dieser TLRs in den Lebern der Patienten mit NAFLD aktiv sind, die sich negativ auf deren Gesundheit auswirken. In weiteren Untersuchungen soll nun erforscht werden, welchen Einfluss die jeweiligen TLRs auf die Entstehung der NAFLD haben. Die Ergebnisse sollen dazu dienen, entsprechende Therapiemaßnahmen entwerfen zu können.
Quelle: Pressemeldung Kompetenznetz Adipositas
