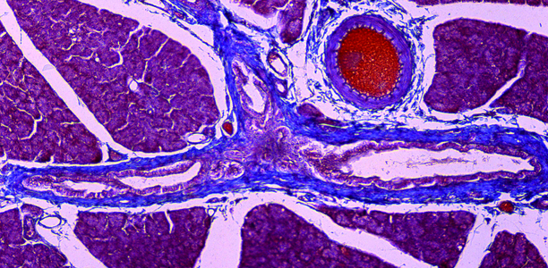
Der diesjährige Träger des Menarini-Preises Torben Schulze spricht über die Insulinsekretionskinetik und ihre herausfordernde Erforschung. Deren Ziel ist eine Erklärung für die grundlegenden Ursachen der Sekretionsveränderungen bei Typ-2-Diabetes.
Dieser Beitrag steht nur registrierten Benutzern mit Berufsverifizierung zur Verfügung. Jetzt anmelden.Forschungspreis
Mikrochips mit Pankreasinseln beladen dank Menarini-Preisgeld
© copyright
