Funktionsstörungen der Schilddrüse können Einfluß auf den Diabetes haben. Wie das eine mit dem anderen in Zusammenhang steht, erklärt Dr. Huda Chaar in diesem Beitrag.
Folgende Erkrankungen führen durch Hormonüberschuss zu erhöhten Glukosewerten:
1. Schilddrüsenüberfunktion (Knoten, M. Basedow, andere Ursachen)
2. Nebennierenfunktionsstörung (Cushing-Syndrom, Phäochromozytom)
3. Hypophysenfunktionsstörung (Akromegalie, Somatostatinom)
4. Gastropankreatische neuroendokrine Neoplasien (GEP-NEN)
Schilddrüsenüberfunktion
Die Schilddrüse produziert die lebenswichtigen Hormone fT3 und fT4, welche viele Prozesse im Körper steuern. Unter anderem sind dies:
- Steigerung von Grundumsatz und Gesamtstoffwechsel
- Steigerung des Calcium- und Phosphatstoffwechsels
- Stimulation von Wachstum und Reifungsprozesse des Skeletts und des Gehirnes im Entwicklungsalter
Einer Schilddrüsenüberfunktion können verschiedene Ursachen zugrunde liegen. Zum einen ist dies eine vermehrte Eigenproduktion von Schilddrüsenhormonen bei autonomen Knoten (mit und ohne Vergrößerung der Schilddrüse). Alternativ können Schilddrüsen-spezifische Autoantikörper (TRAK= TSH-Rezeptor-Antikörper bei Morbus Basedow, Abbildung 1, nächste Seite) zu einer dauerhaften Aktivierung des TSH-Rezeptors an den Schilddrüsenzellen führen und anstelle des physiologischen Hormons TSH die Schilddrüsenhormonproduktion aktivieren.
In seltenen Fällen kann auch eine Entzündung mit Zerfall von Schilddrüsenzellen und Freisetzung von Schilddrüsenhormonen vorliegen (die sogenannte Thyreoiditis de Quervain). Letzlich kann eine Überfunktion der Schilddrüsen aber auch iatrogen sein, z. B. durch exogene Hormonzufuhr (vermehrte Einnahme von Schilddrüsenhormonen) oder durch übermäßige Aufnahme von Jod, z. B. bei Gabe von jodhaltigen Kontrastmitteln oder Medikamente, welche Jod enthalten (z. B. Amiodarone).
Typische Zeichen einer Überfunktion sind:
Nervosität, Reizbarkeit, Rastlosigkeit, Konzentrationsschwäche, Zittern, Schlafstörungen, hoher Blutdruck, schneller Puls bis hin zu lebensbedrohlichen Herzrhythmusstörungen, Gewichtsverlust trotz guten Appetits, warme und feuchte Haut, Schweißausbrüche, Haarausfall, brüchige Nägel, Durchfall, teigige Unterschenkelschwellungen.
Wie wirkt sich nun eine Schilddrüsenüberfunktion auf den Blutzucker aus?
Die übermäßig produzierten Schilddrüsenhormone führen zu einer verstärkten Aufnahme von Glucose aus dem Darm und zu einer vermehrten Freisetzung von Glukose aus der Leber und dadurch zu einem Anstieg des Blutzuckerspiegels. Zudem kommt es zu einer verminderten Insulinsensitivität in der Peripherie und zur Hemmung der Insulinsekretion. Der Körper steigert die Produktion von Hormonen, die zu den "Gegenspielern" des Insulins zählen, wie etwa Glukagon. Dies führt bei Patienten mit Diabetes mellitus zu einer Verschlechterung der Stoffwechsellage.
Diagnostik und Therapie
Bei einer Sonografie kann eine Vergrößerung der Schilddrüse mit und ohne Knotenbildung leicht erkannt werden, welche allerdings nicht immer ein Anlass zur Sorge darstellt.
Bluttests zeigen uns, wie stark die Schilddrüsenhormonproduktion angeregt ist. Zunächst werden die schilddrüsenspezifischen Hormone bestimmt (TSH, fT3, fT4), im Verlauf können weitere Blutwerte wie Schilddrüsenspezifische Antikörpger (TRAK, anti-TPO-Antikörper) erforderlich sein.
Bei sonografisch nachweisbaren Knoten in der Schilddrüse kann eine Szintigrafie eines radioaktiven Markers die hormonelle Aktivität der Schilddrüse bzw. der Knoten zeigen. Hier können Gewebestellen mit besonders hoher oder geringer Funktion (sog. "kalte" und "heiße" Knoten detektiert werden.
Die Therapie besteht vordergründig in der Senkung des Schilddrüsenhormonexzesses mittels Thyreostatika, also Medikamente, welche die Hormonproduktion aus der Schilddrüse hemmen. Nach Erreichen einer Euthyreose, sprich einer ausgeglichenen Schilddrüsenstoffwechsellage, sollte die Beseitigung der Ursache erfolgen. In der Regel erfolgt dies mittels Radiojodtherapie, in bestimmten Fällen kann auch eine Operation erforderlich werden.
Nebennierenfunktionsstörung
Die Nebenniere produziert das lebenswichtige Hormon Cortisol. Cortisol ist eines der Stresshormone unseres Körpers, welches in der Nebennierenrinde produziert wird. Es regt den Stoffwechsel an, wirkt entzündungshemmend und sorgt dafür, dass im Blut mehr Glukose bereitgestellt wird. Als Gegenspieler von Insulin schwächt es dessen Wirkung in den Zellen ab, was zu einer Insulinresistenz führen kann.
Bei Erkrankungen der Nebenniere, z. B. Tumore welche Cortisol produzieren (sog. Cushing-Syndrom) oder durch Überstimulation durch das übergeordnete Steuerhormon aus der Hypophyse ACTH (Morbus Cushing) kommt es zu einer Überproduktion von Cortisol. Seltener liegt eine ektope ACTH-Produktion vor, z. B. aus Tumoren, die an anderen Stellen lokalisiert sind.
Eine andere Ursache für einen Cortisolüberschuss ist die langfristige Einnahme von cortisonhaltigen Medikamenten, sei es als Salbe, Spray oder in Tablettenform. Dies kann vorliegen, wenn ein Patient z. B. wegen einer entzündlichen, autoimmunen oder rheumatischen Erkrankung Cortison in hohen Dosen einnehmen muss. In Folge kann es zu einer deutlichen Verschlechterung der Blutzucker-Stoffwechsellage kommen bis hin zur Erstmanifestation eines Diabetes.
Typisch Zeichen eines Cortisolüberschusses sind Gewichtszunahme, vor allem an Bauch, Hüften und Gesäß, eine "vollmondartige" Rundung des Gesichts, Muskelschwäche, v. a. im Bereich der Arme und Beine sowie rötliche Dehnungsstreifen an Bauch, Hüfte und Achseln (Striae rubrae). Außerdem kann es zu Auftreten von Akne kommen, Ausdünnung der Haut (Pergamenthaut) und Knochenschwund (Osteoporose). Weiterhin kann sich ein Cortisolexzess negativ auf die Stimmung auswirken mit Entwicklung von Ängstlichkeit und depressiver Symptomatik.
Weitere lebenswichtige Hormone aus der Nebenniere sind die Katecholamine (Adrenalin, Noradrenalin, Dopamin). Sie werden aus dem Nebennierenmark produziert. Bei einer Überproduktion aus der Nebenniere liegt ein sog. Phäochromozytom vor. Seltener können Phäochromozytome aus dem sympathischen Grenzstrang (parallel zur Wirbelsäule bzw. der großen Blutgefäßen) ausgehen und werden dann extra-adrenale Phäochromzytome oder Paragangliome genannt.
Bei einem Katecholaminexzess kommt es typischerweise zu einem krisenhaftigen Blutdruckanstieg, meistens in Kombination mit Kopfschmerzen und Schwitzen und Herzrasen. Auch hier kann es zu einem Blutzuckeransieg mit Entwicklung eines Diabetes kommen.
Abbildung 1: Sonografie der Schilddrüse bei Morbus Basedow, die untere Abbildung zeigt die vermehrte Durchblutung mittels Dopplersonografie
Diagnostik und Therapie
Durch Bestimmung von Cortisol und des Steuerhormons ACTH kann zunächst das Vorliegen einer Überproduktion detektiert werden. Durch Suppressionstests können Rückschlüsse auf den Entstehungsort gezogen werden (Nebenniere, Hypophyse oder ektop).
Bei Verdacht auf das Vorliegen eines Phäochromozytoms werden die Stoffwechselmetabolite von Adrenalin und Noradrenalin bestimmt (Normetanephrin und Metanephrin) entweder im 24-Stunden-Sammelurin oder im Blut (Plasma).
Im Rahmen einer Bildgebung (CT, MRT) kann das Vorliegen eines Tumors, sei es im Bereich der Nebenniere oder Hypophyse nachgewiesen werden.
Die Therapie besteht auch hier in der Beseitigung der Ursache. In der Regel werden Tumore operativ entfernt. Sollte dies nicht möglich sein, kann in bestimmten Fällen eine medikamentöse Behandlung (bei Cortisolüberschuss) erfolgen.
Hypophysenüberfunktion
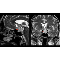
Neben den genannten hypophysären Steuerhormonen TSH (Schilddrüse) und ACTH (Nebenniere), produziert die Hypophyse noch viele weitere Steuerhormone. Hiervon ist das Wachstumshormon (GH) zu nennen. Liegt hier ein Hormonexzess vor (z. B. bei einem hormonaktiven Hypophysentumor, Abbildung 2) kommt es zum Krankheitsbild der Akromegalie. Bei Kindern kommt es zum sogenannten Riesenwuchs, Gelenkschmerzen und Schwitzen. Bei Erwachsenen verändert sich nicht nur das Aussehen mit vergrößerter Nase, prägnanten Wangenknochen, überdimensionierten Händen und Füßen, sondern auch zur Schädigung innere Organe und zu Herzerkrankungen. Weitere typische Zeichen der Akromegalie sind ein Auseinandertreten der Zähne im Unterkiefer, Vergrößerung der Zunge und tiefe Stimme.
Abbildung 2: Magnetresonanztomografie eines Hypophysenadenoms (Quelle: Deutsche Gesellschaft für Endokrinologie).
Da das Wachstumshormon ein Gegenspieler des Insulins ist kann es zur Entwicklung eines Diabetes bzw. Verschlechterung eines vorhandenen Diabetes mellitus führen.
Im Rahmen der Labordiagnostik erfolgt die Bestimmung des Insulin-like growth factor-I (IGF-I), welcher unter dem Einfluss des Wachstumshormons in der Leber gebildet wird und viele Wirkungen des Wachstumshormones vermittelt. Mittels eines MRTs wird ggf. ein Tumor in der Hypophyse nachgewiesen.
Die Therapie besteht in i. d. R. in der Entfernung des Hypophysentumors. Sollte dies aus verschiedenen Gründen nicht möglich sein, z. B. weil der Tumor zu groß oder nachgewachsen ist (Rezidivbildung) kann auch hier eine medikamentöse Behandlung erfolgen.
Gastropankreatische neuroendokrine Neoplasien
Eine Besonderheit des neuroendokrinen Systems stellen die neuroendokrinen Zellen des Gastrointestinaltraktes dar. Diese befinden sich zumeist im Pankreas, Zwölffingerdarm, Dünndarm und im Wurmfortsatz (Appendix). Herauszuheben hiervon sind die glukagonausschüttenden Zellen des Pankreas sowie die somatostatinproduzierenden Zellen des Pankreas und Zwölffingerdarmes.
Das Glukagon ist der Gegenspieler des Insulins, wird aus den alpha-Zellen der Bauchspeicheldrüse produziert und führt zu einer Freisetzung von Glukose aus der Leber. Glukagon-produzierende Tumore des Pankreas werden als Glukagonome bezeichnet.
Die wichtigsten Symptome eines Glukagon-Exzesses sind:
Hautausschläge mit wandernden Bereichen geröteter und sich ablösender Haut (nekrolytisches migratorisches Erythem), ein dauerhaft erhöhter Blutzuckerspiegel, starker Gewichtsverlust, abwechselnde Verstopfungen und Durchfälle.
Somatostatin ist ein "Hemm-Hormon", eine sogenannte Universalbremse vieler anderer Hormone. Es wird primär aus dem Hypothalamus, ein Teil des Zwischenhirns, gebildet. In geringen Mengen wird es auch aus den D-Zellen des Pankreas und den neuroendokrinen Zellen des Zwölffingerdarmes gebildet. Durch Hemmung der Herstellung von Insulin in der Bauchspeicheldrüse kann es somit zur Entstehung eines Diabetes führen.
Labordiagnostik
Die Labordiagnostik besteht aus Nachweis von stark erhöhten Glukagon- bzw. Somatostatinwerten im Blut. Mittels Bildgebender Diagnostik (CT, MRT oder Somatostatin-Rezeptor-Szintigrafie) können ggf. die zugrunde liegenden Tumore Nachgewiesen werden.
Die Therapie besteht auch hier in der operativen Beseitigung der hormonproduzierenden Tumoren.
- Hormone: Einfluss auf den Diabetes
- Hormonelle Überfunktionen
- Hormonmangelsyndrome
|
|
Erschienen in: Diabetes-Forum, 2024; 36 (1/2) Seite 12-14
